Confrontations en cytologie hématologique

Dossier 2012-1/1: Leucémie Myéloïde Chronique (LMC) (code N° 32)

Données clinico-biologiques:

 

Cette patiente de 23 ans se plaint à son médecin traitant de troubles digestifs, discrets mais persistant depuis 2 semaines. La palpation abdominale semblant retrouver une splénomégalie (confirmée ensuite par l'hématologue à 2 travers de doigt, et également par l'échographie abdominale), un hémogramme est réalisé. Leucocytes = 199 G/L, hémoglobine = 11.7 g/dL, VGM = 88 fL, CCMH = 33.5 g/dL, Plaquettes = 524 G/L.

Observation dans le cadre de l'accréditation des LBM:   Vous devez réaliser la formule leucocytaire. La rubrique « cellules anormales » ne doit pas être remplie : il faut obligatoirement identifier les cellules, en utilisant le tableau de décompte suivant (comptez 200 cellules). Vous devez proposer un seul diagnostic, à choisir parmi les propositions du menu déroulant = Hypothèses diagnostiques. Votre réponse correspond à un numéro (01 à 46). N'utilisez pas la zone « commentaires » pour votre diagnostic (ne sera pas pris en compte)

Résultats attendus:

  • Leucémie Myéloïde Chronique (LMC) (code N° 32)
Formule leucocytaire attendue
Formule Pourcentage Valeur abs. (Giga/l)
Polynucléaires neutrophiles 55 % 109
Polynucléaires éosinophiles 6 % 12
Polynucléaires basophiles 4 % 8
Lymphocytes 3 % 6
Monocytes 1 % 2
Lymphocytes hyperbasophiles (type MNI) 0 % 0
Métamyélocytes neutrophiles 14 % 28
Myélocytes neutrophiles 12 % 24
Promyélocytes neutrophiles 3 % 6
Blastes 2 % 4
Cellules anormales (préciser en commentaire) 0 % 0
Erythroblastes (pour 100 leucocytes)   0

Commentaire:

 

Remarque : la formule leucocytaire représentative de l'ensemble des participants sera incluse en fin de confrontation.

Buts de cette observation:

  • Connaître les critères morphologiques de la myélémie, et réaliser un classement adapté des stades « intermédiaires »  (voir plus loin) ;
  • savoir réaliser une formule microscopique sur 200 (voire plus) cellules dans les grandes hyperleucocytoses de ce type, pour minimiser l'imprécision technique ;
  • savoir évoquer un diagnostic cytologique.

 

Commentaires:

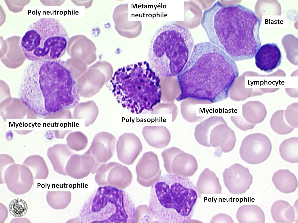
Grande hyperleucocytose constituée de :

  • polynucléaires neutrophiles
  • avec myélémie conséquente,
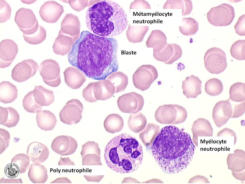
  • petit nombre de blastes = 2%  (1.5 % de blastes indifférenciés sans granulations et 0.5 % de blastes avec qq granulations (myéloblastes)),
  • Excès d'éosinophiles et de basophiles.

Peu d'anomalies morphologiques des hématies ; rares érythroblastes (+/- mégaloblastiques).

Devant un tel hémogramme il n'y a pas d'autre hypothèse diagnostique que celle de leucémie myéloïde chronique. Dans son compte-rendu il faut signaler : « l'aspect de l'hémogramme évoque celui d'une hémopathie myéloïde chronique », et avoir téléphoné au médecin traitant pour l'informer de votre découverte (information sur le diagnostic évoqué, et risque de leucostase et de thrombose ne sont pas à exclure).

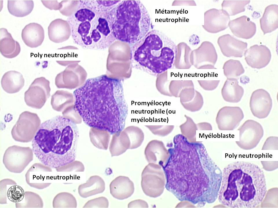
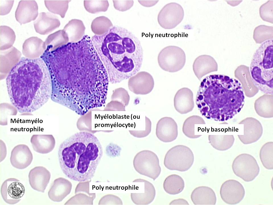
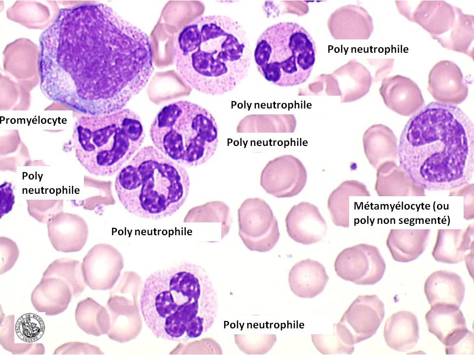
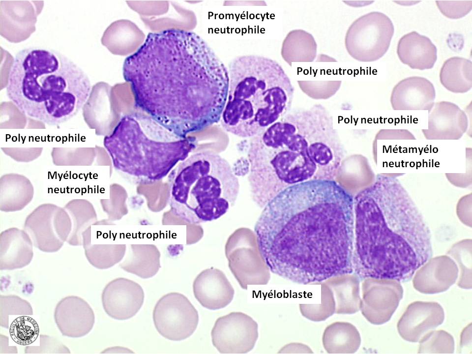
Difficultés éventuelles d'identification cytomorphologique des cellules de ce frottis sanguin :

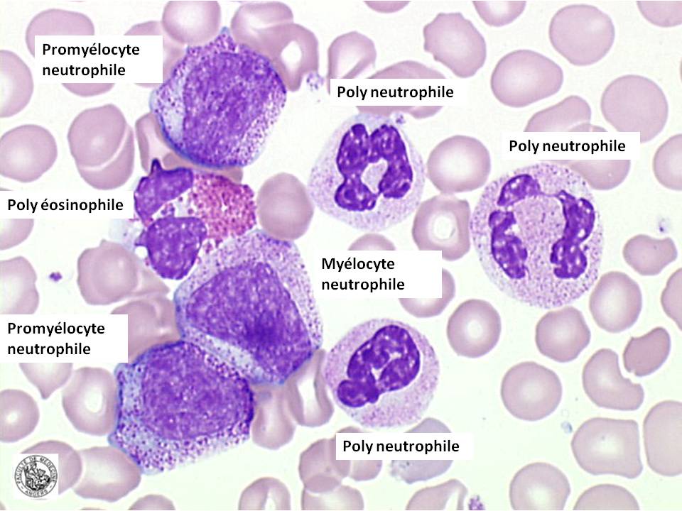
Lignée éosinophile : on regroupe l'ensemble des cellules avec granulations « éosinophiles » en une seule catégorie = éosinophiles (il n'est pas utile de détailler la myélémie éosinophile dans ce contexte) ;

Lignée granulocytaire basophile : idem.

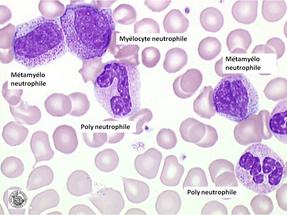
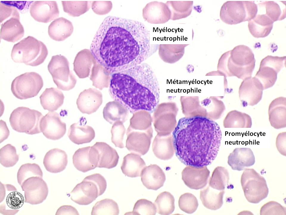
La myélémie n'est pas constamment constituée de cellules à des stades parfaitement définis sur le plan morphologique. On classera les cellules de la lignée granulocytaire comme suit :

  • Polynucléaires neutrophiles : noyau avec lobes nettement dessinés ;
  • Cellules avec cytoplasme « basophile » :

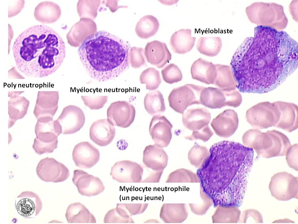
            - myéloblastes : rapport N/C 0.7-0.9, noyau arrondi avec 1 à 3 nucléoles, cytoplasme avec basophilie nette, contenant quelques fines granulations azurophiles ;

            - promyélocytes : rapport N/C 0.6-0.8, noyau arrondi avec 0 ou 1 nucléole, basophilie restreinte à une partie du cytoplasme, nombreuses granulations azurophiles, fréquemment dispersées dans la cellule et en partie posées sur le noyau (taille parfois plus grosse que les granulations des myéloblastes ; exceptionnellement = confusion avec un précurseur de la lignée basophile) ;

  • Cellules avec cytoplasme d'aspect comparable à celui des polynucléaires neutrophiles :

            - myélocytes : rapport N/C d'environ 0.5, noyau arrondi dépourvu de nucléole, chromatine se rapprochant de celle du poly nature ;

            - métamyélocytes : idem myélocytes, mais de taille un peu inférieure, noyau qui s'allonge ou allongé (les 2 bords sont +/- parallèles).

La difficulté peut résider dans la difficulté de séparer un stade de maturation avec le précédent ou le suivant, la persistance d'une petite basophilie cytoplasmique dans tous les processus d'hyperproduction :

Métamyélocyte ou polynucléaire ? : noyau allongé à bords +/- parallèles = métamyélocyte, noyau allongé mais dont on voit nettement des pincements (= les futurs ponts de chromatines entre lobes nucléaires) = polynucléaire ;

Myélocyte ou métamyélocyte : noyau plutôt arrondi, ou noyau plutôt allongé ?

Promyélocyte ou myélocyte ? : le cytoplasme est-il encore nettement basophile ? Y-a-t-il un nucléole net ou non ?

Myéloblastes ou promyélocyte ? nombre de granulations, 1 nucléole maxi pour le promyélocyte.

Malgré tout, il reste quelques cellules « intermédiaires » : pour la première hésitation entre 2 stades, classez la cellule dans le stade plus mature, puis la seconde dans le stade plus immature.

 

Compléments concernant la patiente:

Caryotype médullaire : chromosome Philadelphie dans la totalité des métaphases analysées.

Un traitement cytoréducteur avec hydroxyurée a été mis en place, suivi après 2 semaines de l'utilisation d'un inhibiteur de tyrosine kinase.

 

 

Critères de notation.

  • Les notes s'échelonnent de A à D. La note E correspond à un résultat non rendu.

Points forts :

  • Avoir reconnu l'hyperleucocytose à cellules granulocytaires,
  • L'existence d'une myélémie significative,
  • La présence d'un excès d'éosinophiles et de poly basophiles,
  • L'absence de blastes en nombre excessif (facteur pronostique ou de classement)
  • Avoir évoqué le diagnostic convenable, sur cet hémogramme caractéristique.

Réponses pertinentes : notées A ou B (le diagnostic est évoqué ; la formule leucocytaire présente des écarts mineurs ou modérés par rapport à la réponse de l'expert, et entre dans les limites fiduciaires attendues : voir tableau ci-après)

Réponses insuffisantes : C (note rarement attribuée, car soit on sait soit on s'est trompé),

Réponses erronées : D (mauvais diagnostic ; formule leucocytaire significativement différente du résultat attendu, comme par exemple une absence de myélémie, un excès de blastes > 7 %, la présence de cellules pouvant orienter vers un autre diagnostic, ...)

Remarques. Vos notes pour l'année 2012 vous parviendront en fin d'année sous la forme d'un document unique, regroupant :

  • Note de A à E  pour chaque dossier destiné à l'habilitation (= le premier dossier de chaque envoi),
  • Commentaire sur la participation à la formation continue (= les dossiers 2 à 4 de chaque confrontation). Le commentaire synthétisera votre participation à la formation continue : une réponse à au moins 9 des 12 dossiers est nécessaire pour une évaluation favorable. (l'obtention d'un diagnostic correct n'est pas le but unique, votre participation et votre démarche diagnostique seront toujours mises en avant).

Il s'agira pour 2012 d'une phase test : pour 2013 il faudra que vous soyiez inscrit individuellement et nominativement à ces confrontations.

Bilan

   

EVALUATION DE L'ERREUR POSSIBLE DANS LES RESULTATS D'UNE FORMULE LEUCOCYTAIRE.

  • Rumke CL. Variabilité des résultats dans la détermination des formules leucocytaires. Triangle.1960;4:150-153.
  • Piette M. Cytologie des cellules du sang. Flammarion, 1968, p44.
 

 

 

 

POURCENTAGES

 

 

 

LIMITES FIDUCIAIRES

(avec un niveau de probabilité de 5 p. 100) pour N cellules décomptées

 

 

N = 100

 

 

N = 200

 

N = 500

 

N = 1 000

 

0

1

2

3

4

5

6

7

8

9

10

15

20

25

30

35

40

45

50

 

0        4

0        6

0        8

0        9

1        10

1        12

2        13

2        14

3        16

4        17

4        18

8        24

12       30

16        35

21        40

25        46

30        51

35        56

39        61

 

0        2

0        4

0        6

1        7

1        8

2        10

3        11

3        12

4        13

5        15

6        16

10        21

14        27

19        32

23        37

28        43

33        48

38        53

42        58

 

0        1

0        3

0        4

1        5

2        7

3        8

4        9

4        10

5        11

6        12

7        14

12        19

16        24

21        30

26        35

30        40

35        45

40        50

45        55

 

0        1

0        2

1        4

2        5

2        6

3        7

4        8

5        9

6        10

7        11

8        13

12        18

17        23

22        28

27        33

32        39

36        44

41        49

46        54

1. Frottis sanguin

131.Diapositive1.JPG

2. Frottis sanguin

131.Diapositive2.JPG

3. Frottis sanguin

131.Diapositive3.JPG

4. Frottis sanguin

131.Diapositive4.JPG

5. Frottis sanguin

131.Diapositive5.JPG

6. Frottis sanguin

131.Diapositive6.JPG

7. Frottis sanguin

131.Diapositive7.JPG

8. Frottis sanguin

131.Diapositive8.JPG

9. Frottis sanguin

131.Diapositive9.JPG

10. Frottis sanguin

131.Diapositive10.JPG

11. Frottis sanguin

131.Diapositive11.JPG

12. Frottis sanguin

131.Diapositive12.JPG

13. Frottis sanguin

131.Diapositive13.JPG

14. Frottis sanguin

131.Diapositive14.JPG

15. Frottis sanguin

131.Diapositive15.JPG

16. Frottis sanguin

131.Diapositive16.JPG
<<Début Fin>>